戻るshapeimage_2_link_0
イ ンプラント
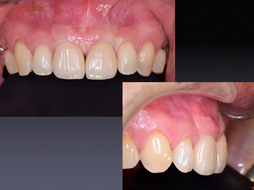
インプラント治療は、失われた歯牙を人工の歯根(チタン合金製)で再建する方法です。隣在する健康な歯を削ることが避けられる利点、かみ合わせの崩壊を防止できる利点、すでに崩壊したかみ合わせを回復できる利点、義歯の安定化が得られる利点、審美的な外観が得られる利点等、数々の利点を備えている、現在の歯科医療ではなくてならない極めて有用な治療法の一つです。
※私達のクリニックでは、XiVE system、SPI system、のインプラントを使用しています。
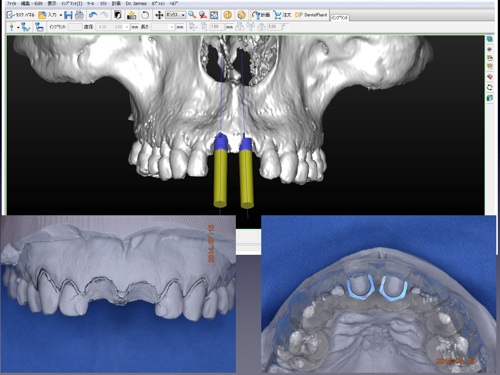
インプラント治療を安全に行うため、当院ではCT分析ソフト(SimPlant)を用い診断、シミュレーションを行っております。
以下の画像のように詳細な情報が得られることがお分かりいただけると思います。
イ ンプラント治療とは・・・
安 全・安心・正確なインプラント治療

当クリニックでは安全・安心・正確なインプラント治療のためガイド手術を行っております。

◉ ホーム ◉ 院長紹介 ◉ 医院紹介 ◉ チーム倉嶋 ◉ 診療カレンダー  ◉ リンク ◉ サイトマップ      cang_dao_chi_kekurinikku.htmlyuan_zhang_shao_jie.htmlyi_yuan_shao_jie.htmlchimu_cang_dao.htmlzhen_liaokarenda.htmlrinku.htmlsaitomappu.htmlshapeimage_11_link_0shapeimage_11_link_1shapeimage_11_link_2shapeimage_11_link_3shapeimage_11_link_4shapeimage_11_link_5shapeimage_11_link_6
インプラント治療shapeimage_12_link_0
レーザー治療reza_zhi_liao.htmlshapeimage_13_link_0
かみ合わせ治療kami_hewase_zhi_liao.htmlshapeimage_14_link_0
歯周治療chi_zhou_zhi_liao.htmlshapeimage_15_link_0
義歯治療yi_chi_zhi_liao.htmlshapeimage_16_link_0
ホワイトニングhowaitoningu.htmlshapeimage_17_link_0
自家歯牙移植zi_jia_chi_ya_yi_zhi.htmlshapeimage_18_link_0
歯内療法chi_nei_liao_fa.htmlshapeimage_19_link_0
スポーツ歯科supotsu_chi_ke.htmlshapeimage_20_link_0
口腔科kou_qiang_ke.htmlshapeimage_21_link_0
審美治療shen_mei_zhi_liao.htmlshapeimage_22_link_0
矯正治療jiao_zheng_zhi_liao.htmlshapeimage_23_link_0
知っておくと良い事zhitteokuto_liangi_shi.htmlshapeimage_24_link_0
ライフコースにおける健康軌道raifukosuniokeru_jian_kang_gui_dao.htmlshapeimage_25_link_0
咬合再建・咬合回復yao_he_zai_jianyao_he_hui_fu.htmlshapeimage_26_link_0

医療法人社団 慧真会

倉嶋歯科クリニック

ご予約、お問い合わせは・・・
☎ 025-277-0685
症例に応じた治療手法の選択と咀嚼機能再現の効果http://www.kura-dent.com/Treatment%20and%20effects.pdfshapeimage_29_link_0

950-0105 新潟市江南区大渕3485 tel.025-277-0685 fax.025-277-5253

Copyright (C) 2009 KURASHIMA DENTAL CLINIC All rights reserved. 【掲載の記事・写真・イラストなどの無断複写・転載等を禁じます。】

治療例1 治療例2 治療例3 治療例4 治療例5 治療例6 治療例7 治療例8 治療例9 inpuranto_zhi_liao_li1.htmlinpuranto_zhi_liao_li2.htmlinpuranto_zhi_liao_li3.htmlinpuranto_zhi_liao_li4.htmlinpuranto_zhi_liao_li5.htmlinpuranto_zhi_liao_li6.htmlinpuranto_zhi_liao_li7.htmlinpuranto_zhi_liao_li8.htmlinpuranto_zhi_liao_li9.htmlshapeimage_30_link_0shapeimage_30_link_1shapeimage_30_link_2shapeimage_30_link_3shapeimage_30_link_4shapeimage_30_link_5shapeimage_30_link_6shapeimage_30_link_7shapeimage_30_link_8