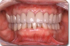
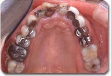
かみ合わせの改善を含めた総合的な治療により、このように崩壊したお口の中でも しっかり噛めて、美しい状態に治すことができます。この後は、定期的メインテナンスをお受けいただき、良い状態を守って行ければ長い期間、快適な食生活が営めるでしょう。どんな状態でも希望を持って、ご相談いただければ幸いです。
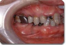
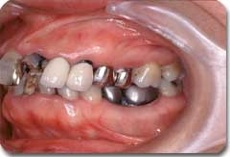
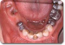
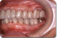
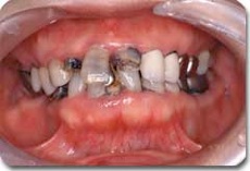
かみ合わせ治療前の状態です
≫
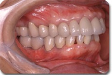
かみ合わせ治療によりここまで治すことができます
戻るshapeimage_8_link_0
か み合わせ治療
治 療例 1
治療例1 治療例2 治療例3kami_hewase_zhi_liao_li2.htmlkami_hewase_zhi_liao_li3.htmlshapeimage_11_link_0shapeimage_11_link_1shapeimage_11_link_2
◉ ホーム ◉ 院長紹介 ◉ 医院紹介 ◉ チーム倉嶋 ◉ 診療カレンダー  ◉ リンク ◉ サイトマップ      cang_dao_chi_kekurinikku.htmlyuan_zhang_shao_jie.htmlyi_yuan_shao_jie.htmlchimu_cang_dao.htmlzhen_liaokarenda.htmlrinku.htmlsaitomappu.htmlshapeimage_12_link_0shapeimage_12_link_1shapeimage_12_link_2shapeimage_12_link_3shapeimage_12_link_4shapeimage_12_link_5shapeimage_12_link_6

医療法人社団 慧真会

倉嶋歯科クリニック

ご予約、お問い合わせは・・・
☎ 025-277-0685
インプラント治療inpuranto.htmlshapeimage_15_link_0
レーザー治療reza_zhi_liao.htmlshapeimage_16_link_0
かみ合わせ治療shapeimage_17_link_0
歯周治療chi_zhou_zhi_liao.htmlshapeimage_18_link_0
義歯治療yi_chi_zhi_liao.htmlshapeimage_19_link_0
ホワイトニングhowaitoningu.htmlshapeimage_20_link_0
自家歯牙移植zi_jia_chi_ya_yi_zhi.htmlshapeimage_21_link_0
歯内療法chi_nei_liao_fa.htmlshapeimage_22_link_0
スポーツ歯科supotsu_chi_ke.htmlshapeimage_23_link_0
口腔科kou_qiang_ke.htmlshapeimage_24_link_0
審美治療shen_mei_zhi_liao.htmlshapeimage_25_link_0
矯正治療jiao_zheng_zhi_liao.htmlshapeimage_26_link_0
知っておくと良い事zhitteokuto_liangi_shi.htmlshapeimage_27_link_0
ライフコースにおける健康軌道raifukosuniokeru_jian_kang_gui_dao.htmlshapeimage_28_link_0
咬合再建・咬合回復yao_he_zai_jianyao_he_hui_fu.htmlshapeimage_29_link_0
症例に応じた治療手法の選択と咀嚼機能再現の効果http://www.kura-dent.com/Treatment%20and%20effects.pdfshapeimage_30_link_0

950-0105 新潟市江南区大渕3485 tel.025-277-0685 fax.025-277-5253

Copyright (C) 2009 KURASHIMA DENTAL CLINIC All rights reserved. 【掲載の記事・写真・イラストなどの無断複写・転載等を禁じます。】