戻るshapeimage_3_link_0
審 美治療-1
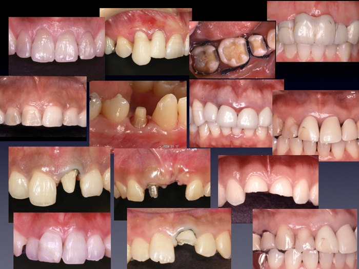
ジルコニア 治療例1 治療例2 治療例3 治療例4 治療例5 治療例6 治療例7 治療例8 治療例9shen_mei_zhi_liaojirukonia.htmlshen_mei_zhi_liao_li1.htmlshen_mei_zhi_liao_li2.htmlshen_mei_zhi_liao_li3.htmlshen_mei_zhi_liao_li4.htmlshen_mei_zhi_liao_li5.htmlshen_mei_zhi_liao_li6.htmlshen_mei_zhi_liao_li7.htmlshen_mei_zhi_liao_li8.htmlshen_mei_zhi_liao_li9.htmlshapeimage_5_link_0shapeimage_5_link_1shapeimage_5_link_2shapeimage_5_link_3shapeimage_5_link_4shapeimage_5_link_5shapeimage_5_link_6shapeimage_5_link_7shapeimage_5_link_8shapeimage_5_link_9
◉ ホーム ◉ 院長紹介 ◉ 医院紹介 ◉ チーム倉嶋 ◉ 診療カレンダー  ◉ リンク ◉ サイトマップ      cang_dao_chi_kekurinikku.htmlyuan_zhang_shao_jie.htmlyi_yuan_shao_jie.htmlchimu_cang_dao.htmlzhen_liaokarenda.htmlrinku.htmlsaitomappu.htmlshapeimage_6_link_0shapeimage_6_link_1shapeimage_6_link_2shapeimage_6_link_3shapeimage_6_link_4shapeimage_6_link_5shapeimage_6_link_6

医療法人社団 慧真会

倉嶋歯科クリニック

ご予約、お問い合わせは・・・
☎ 025-277-0685
インプラント治療inpuranto.htmlshapeimage_9_link_0
レーザー治療reza_zhi_liao.htmlshapeimage_10_link_0
かみ合わせ治療kami_hewase_zhi_liao.htmlshapeimage_11_link_0
歯周治療chi_zhou_zhi_liao.htmlshapeimage_12_link_0
義歯治療yi_chi_zhi_liao.htmlshapeimage_13_link_0
ホワイトニングhowaitoningu.htmlshapeimage_14_link_0
自家歯牙移植zi_jia_chi_ya_yi_zhi.htmlshapeimage_15_link_0
歯内療法chi_nei_liao_fa.htmlshapeimage_16_link_0
スポーツ歯科supotsu_chi_ke.htmlshapeimage_17_link_0
口腔科kou_qiang_ke.htmlshapeimage_18_link_0
審美治療shen_mei_zhi_liao.htmlshapeimage_19_link_0
矯正治療jiao_zheng_zhi_liao.htmlshapeimage_20_link_0
知っておくと良い事zhitteokuto_liangi_shi.htmlshapeimage_21_link_0
ライフコースにおける健康軌道raifukosuniokeru_jian_kang_gui_dao.htmlshapeimage_22_link_0
咬合再建・咬合回復yao_he_zai_jianyao_he_hui_fu.htmlshapeimage_23_link_0
症例に応じた治療手法の選択と咀嚼機能再現の効果http://www.kura-dent.com/Treatment%20and%20effects.pdfshapeimage_24_link_0

950-0105 新潟市江南区大渕3485 tel.025-277-0685 fax.025-277-5253

Copyright (C) 2009 KURASHIMA DENTAL CLINIC All rights reserved. 【掲載の記事・写真・イラストなどの無断複写・転載等を禁じます。】