近年、審美的治療を希望される方が急増していますこれも患者さんの方々が口腔内へ高い関心度をお持ちである所以であろうと思います。また、私たちの考える審美治療は、見た目の美しさだけでなく、機能的にも許容された口腔内の健康美を意味しています。当クリニックでもそのような期待に応えられるよう努力しております。

■ 適切な型採りは、審美的にも高い質を得ることができます。
戻るshapeimage_4_link_0
審 美治療
※ クリックするとどの歯が審美修復された歯か見ることができます。shen_mei_zhi_liao-1.htmlshapeimage_6_link_0
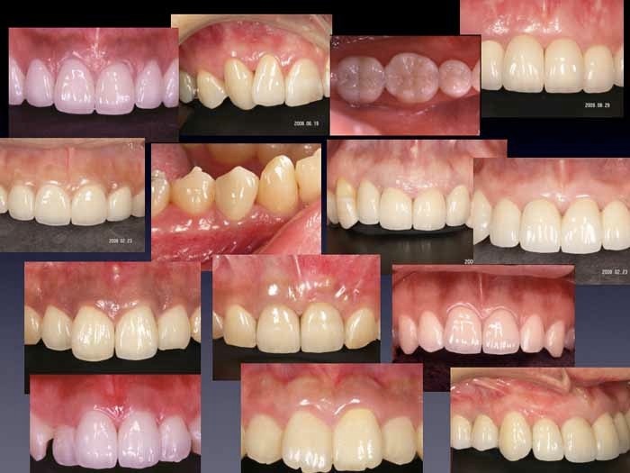
ジルコニア 治療例1 治療例2 治療例3 治療例4 治療例5 治療例6 治療例7 治療例8 治療例9shen_mei_zhi_liaojirukonia.htmlshen_mei_zhi_liao_li1.htmlshen_mei_zhi_liao_li2.htmlshen_mei_zhi_liao_li3.htmlshen_mei_zhi_liao_li4.htmlshen_mei_zhi_liao_li5.htmlshen_mei_zhi_liao_li6.htmlshen_mei_zhi_liao_li7.htmlshen_mei_zhi_liao_li8.htmlshen_mei_zhi_liao_li9.htmlshapeimage_7_link_0shapeimage_7_link_1shapeimage_7_link_2shapeimage_7_link_3shapeimage_7_link_4shapeimage_7_link_5shapeimage_7_link_6shapeimage_7_link_7shapeimage_7_link_8shapeimage_7_link_9
◉ ホーム ◉ 院長紹介 ◉ 医院紹介 ◉ チーム倉嶋 ◉ 診療カレンダー  ◉ リンク ◉ サイトマップ      cang_dao_chi_kekurinikku.htmlyuan_zhang_shao_jie.htmlyi_yuan_shao_jie.htmlchimu_cang_dao.htmlzhen_liaokarenda.htmlrinku.htmlsaitomappu.htmlshapeimage_8_link_0shapeimage_8_link_1shapeimage_8_link_2shapeimage_8_link_3shapeimage_8_link_4shapeimage_8_link_5shapeimage_8_link_6

医療法人社団 慧真会

倉嶋歯科クリニック

ご予約、お問い合わせは・・・
☎ 025-277-0685
インプラント治療inpuranto.htmlshapeimage_11_link_0
レーザー治療reza_zhi_liao.htmlshapeimage_12_link_0
かみ合わせ治療kami_hewase_zhi_liao.htmlshapeimage_13_link_0
歯周治療chi_zhou_zhi_liao.htmlshapeimage_14_link_0
義歯治療yi_chi_zhi_liao.htmlshapeimage_15_link_0
ホワイトニングhowaitoningu.htmlshapeimage_16_link_0
自家歯牙移植zi_jia_chi_ya_yi_zhi.htmlshapeimage_17_link_0
歯内療法chi_nei_liao_fa.htmlshapeimage_18_link_0
スポーツ歯科supotsu_chi_ke.htmlshapeimage_19_link_0
口腔科kou_qiang_ke.htmlshapeimage_20_link_0
審美治療shapeimage_21_link_0
矯正治療jiao_zheng_zhi_liao.htmlshapeimage_22_link_0
知っておくと良い事zhitteokuto_liangi_shi.htmlshapeimage_23_link_0
ライフコースにおける健康軌道raifukosuniokeru_jian_kang_gui_dao.htmlshapeimage_24_link_0
咬合再建・咬合回復yao_he_zai_jianyao_he_hui_fu.htmlshapeimage_25_link_0
症例に応じた治療手法の選択と咀嚼機能再現の効果http://www.kura-dent.com/Treatment%20and%20effects.pdfshapeimage_26_link_0

950-0105 新潟市江南区大渕3485 tel.025-277-0685 fax.025-277-5253

Copyright (C) 2009 KURASHIMA DENTAL CLINIC All rights reserved. 【掲載の記事・写真・イラストなどの無断複写・転載等を禁じます。】