私達の行っている印象採得(型採り)について
■ 歯冠修復;二重圧排法(ダブルコード法)
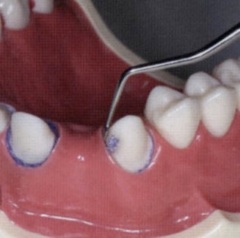
ダブルコードテクニックは、歯肉溝液や出血をコントロールし正確なマージンの印象採得が行える非常に有効な方法です。2次圧排糸の圧力によって内縁上皮は外側に押し拡げられ、印象時には一時的に歯内縁は外側、根尖側に移動しています。この結果マージンに歯肉が被ることなく確実な印象採得が行えます。健康な歯肉では、圧排糸は内縁上皮を外側に押し広げているだけで上皮付着を破壊していません。印象時に二重目を外し、即座に印象採得することで正確なマージンを得ることができます。
※当院では自費治療、保険治療に関わらずこの方法を採用しています。
1次圧排
戻るshapeimage_7_link_0
知 っておくと良い事
そ の 1
2次圧排
保険材料印象
保険材料印象/正確なマージン
保険材料印象/不正確なマージン
保険材料印象/正確なマージン
その1 その2 その3 その4 その5 その6 その7 その8 その9 その10 その11
その12 その13 その14zhittesono2.htmlzhittesono3.htmlzhittesono4.htmlzhittesono5.htmlzhittesono6.htmlzhittesono7.htmlzhittesono8.htmlzhittesono9.htmlzhittesono10.htmlzhittesono11.htmlzhittesono12.htmlzhittesono13.htmlzhittesono14.htmlshapeimage_15_link_0shapeimage_15_link_1shapeimage_15_link_2shapeimage_15_link_3shapeimage_15_link_4shapeimage_15_link_5shapeimage_15_link_6shapeimage_15_link_7shapeimage_15_link_8shapeimage_15_link_9shapeimage_15_link_10shapeimage_15_link_11shapeimage_15_link_12shapeimage_15_link_13
◉ ホーム ◉ 院長紹介 ◉ 医院紹介 ◉ チーム倉嶋 ◉ 診療カレンダー  ◉ リンク ◉ サイトマップ      cang_dao_chi_kekurinikku.htmlyuan_zhang_shao_jie.htmlyi_yuan_shao_jie.htmlchimu_cang_dao.htmlzhen_liaokarenda.htmlrinku.htmlsaitomappu.htmlshapeimage_16_link_0shapeimage_16_link_1shapeimage_16_link_2shapeimage_16_link_3shapeimage_16_link_4shapeimage_16_link_5shapeimage_16_link_6

医療法人社団 慧真会

倉嶋歯科クリニック

ご予約、お問い合わせは・・・
☎ 025-277-0685
インプラント治療inpuranto.htmlshapeimage_19_link_0
レーザー治療reza_zhi_liao.htmlshapeimage_20_link_0
かみ合わせ治療kami_hewase_zhi_liao.htmlshapeimage_21_link_0
歯周治療chi_zhou_zhi_liao.htmlshapeimage_22_link_0
義歯治療yi_chi_zhi_liao.htmlshapeimage_23_link_0
ホワイトニングhowaitoningu.htmlshapeimage_24_link_0
自家歯牙移植zi_jia_chi_ya_yi_zhi.htmlshapeimage_25_link_0
歯内療法chi_nei_liao_fa.htmlshapeimage_26_link_0
スポーツ歯科supotsu_chi_ke.htmlshapeimage_27_link_0
口腔科kou_qiang_ke.htmlshapeimage_28_link_0
審美治療shen_mei_zhi_liao.htmlshapeimage_29_link_0
矯正治療jiao_zheng_zhi_liao.htmlshapeimage_30_link_0
知っておくと良い事shapeimage_31_link_0
ライフコースにおける健康軌道raifukosuniokeru_jian_kang_gui_dao.htmlshapeimage_32_link_0
咬合再建・咬合回復yao_he_zai_jianyao_he_hui_fu.htmlshapeimage_33_link_0
症例に応じた治療手法の選択と咀嚼機能再現の効果http://www.kura-dent.com/Treatment%20and%20effects.pdfshapeimage_34_link_0

950-0105 新潟市江南区大渕3485 tel.025-277-0685 fax.025-277-5253

Copyright (C) 2009 KURASHIMA DENTAL CLINIC All rights reserved. 【掲載の記事・写真・イラストなどの無断複写・転載等を禁じます。】